本多歯科では患者様からの高いニーズにお応えするために、医療技術の研鑽や高度な医療機器を駆使した豊富な治療オプションをご用意しております。
患者様の症状やご要望に合わせて最適な治療方法をご選択いただけます。
 
        
         
     
 本多歯科では患者様からの高いニーズにお応えするために、医療技術の研鑽や高度な医療機器を駆使した豊富な治療オプションをご用意しております。
患者様の症状やご要望に合わせて最適な治療方法をご選択いただけます。
歯科治療の中で最も多く行われている審美歯科治療です。コンポジットレジンという歯科用の樹脂を歯に接着して治療します。
シェード(色)も豊富で、重ね合わせることによって多くの歯の色に合わせることが可能です。前歯の虫歯治療や臼歯の比較的小さな範囲の虫歯治療に適しています。ほとんどの場合、たった1日で治療が完了することも魅力のひとつです。
 
            
            
            
            
            
            
            
           虫歯の進行による神経治療や根尖部分にたまった膿を除去する感染根管治療などをしっかり正しく行うことで抜歯になるリスクを軽減し、歯を守ることが可能です。
本多歯科では「ウェーブワン」というニッケルチタンファイルを用いることで感染歯質の切削効率を高め、根管治療を成功に導いています。
また根管治療だけでは病変の改善が見られない場合には、「歯根端切除手術」など外科的根管治療も行っております。
 
                
          根管治療だけでは除去できない病巣や歯根嚢胞などに対して、歯ぐき側から外科的に根尖に直接アプローチして病巣を除去する方法です。
病巣の原因となっている部分を視覚的に治療するため、原因除去療法としても有効です。病巣を除去した部位に骨補填材を使用することもあります。
 
           歯周病の進行によって歯を支えている歯根膜や歯槽骨などの歯周組織に破壊が起こり、歯周ポケットを形成します。
一度失われた歯周組織は元の状態には戻りません。歯周組織の破壊が局所にとどまっており、歯周組織の破壊の原因を改善する治療が行える場合に限っては、歯周組織再生療法によって一度失われた硬組織や軟組織の再生が可能とされています。
歯周病治療を詳しく見る歯周外科手術をする際に、根面に付着した不良肉芽組織の搔爬をしっかりと行った後、エナメルマトリックスタンパクを含んだゲル状の薬剤を塗布することで歯周組織の再生を期待する方法です。
虫歯が大きくなり歯の保存が困難となった歯も、一定の条件下では「残根埋入」という方法を用いて歯の保存に努めています。歯を抜歯することで歯を支えていた歯槽骨が吸収してしまいます。
残根埋入とは歯根を歯肉に埋没することで歯根膜を温存し、歯槽骨の吸収を極力抑制する方法です。これにより歯槽骨の顎堤を維持し、入れ歯やインプラントの安定やブリッジの清掃不良予防などに効果が期待できます。
 
               
                 口を大きく開けたり口を閉じたりする顎の動きは歯で行っている訳ではなく、上顎骨と下顎骨を接続する「顎関節」で行っています。
生体の顎関節の動きを咬合器に再現することで、咬合様式や咬合による歯の状態を確認し、患者様固有の咬合に調和する安定した噛み合わせの考察を行っています。
たった1本の修復においても問題を解決しなければ再び崩壊するリスクが残ってしまう場合があります。咬合治療で最も重要なことは患者様固有の咬合の見極めであり、咬合を守る治療を行うべきか、咬合再構成を行うべきかを相関的に捉えなければならないと考えております。
 
               顎関節症や咬合崩壊、矯正歯科などで噛み合わせを大幅に変える必要がある患者様に対して、その人に合った噛み合わせの基準を設定する治療方法です。
噛み合わせには「歯が噛みやすい位置」と「顎関節が噛みやすい位置」の2つが存在しており、大きく噛み合わせを変える咬合再構成治療では顎関節が噛みやすい位置を基準に設定していきます。
スプリント療法では顎関節や顔面の神経筋機構が調和する位置を確認するために行います。
 
               
                 院内のセレックシステムで製作するセラミック治療方法とは異なり、セラミック専門技工士がひとつひとつ丁寧にオーダーメードで作り上げるセラミック治療です。
患者様の年齢や性別、キャラクタライズに調和する歯の形態や歯並びのデザインをワックスアップを行い設定していきます。またセレックシステムよりも高い透明度や色調再現性が期待でき、より天然歯に近いセラミック治療が可能となります。
 
            
            
            
           本多歯科で最もお勧めしているセラミックは「emax(イーマックス)」です。emaxは透明性や色調再現性を天然歯のように再現できる審美的に優れている材質です。また硬さが天然歯と近似しており噛み合う歯にも優しい材質となっています。
しかし支台歯が変色している場合やブリッジの場合には使用できませんので、その場合はジルコニアをお勧めしています。
 
          人工ダイヤモンドの材料であるジルコニアは、主にブリッジやインプラントといった耐久性が必要な場合に使用しています。
ジルコニアのみで製作する「フルジルコニア」とジルコニアフレームの上にセラミックを築盛する「ジルコニアレイヤリング」があります。またemaxに比べて遮光性があるため、修復する支台歯が変色している場合にも有効です。
 
          歯を失ってしまった部位に何らかの事情で(骨量の不足や全身疾患など)によりインプラントが困難な場合もります。
その場合、入れ歯かブリッジを選択して歯を補う治療をしていきます。ブリッジとは歯と歯を「橋」でつなげるという意味で、欠損した歯の両隣のクラウンをつなげて歯を補います。
セラミックのブリッジは金属に比較して変形が少なく、歯垢や歯石が付きにくいというメリットがあります。
 
               前歯のスキッ歯や大きい範囲の虫歯に対して、薄いセラミック製のベニアを接着する方法です。
すり減った前歯や欠けてしまった前歯の歯の形態を変えたい場合にも有効な治療方法です。歯の表面を一層削るだけでできるため、天然歯質を多く残せることから歯に対する侵襲も最小限に抑えることができます。
セラミックが薄く透明度も高いため、歯の神経がなくなって黒く変色している歯には適応できません。
 
               ラミネートベニアを応用したブリッジで、舌側歯質を一層切削して形成した後、舌側のラミネートベニアと欠損部を補うポンティックを装着します。
本来のブリッジよりも切削量が少なく、歯にも優しい治療方法です。しかし耐久性の面から、複数本の欠損や臼歯部には適応できず、上下顎前歯の1本欠損にのみ対応となっております。
また噛み合わせが深い方や咬合力が強い方、歯ぎしり・食いしばりなどの口腔悪習癖のある方には適用できない場合があります。
 
                ガミースマイルや歯の長さが短い症例に対して、歯肉の高さを変える治療を「歯冠延長術(クラウンレングスニング)」と言います。
クラウンレングスニングには電気メスで歯肉だけを切除する「歯肉整形手術」と歯肉を切開剥離して歯槽骨の形態を変える「歯槽骨整形術」があります。
歯・歯肉・歯槽骨は生物学的幅径で一定の関係を保っており、生物学的幅径を侵襲してしまう恐れがある場合には歯槽骨整形術を選択します。
 
                 咬合再構成とは、噛み合わせ=咬合を新しく再構築するという意味です。
歯のすり減りや噛み合わせの歪みから、口腔内のバランスや機能を失っている症例に対して、骨格に合わせた理想的な噛み合わせを付与するとともに、審美的にも回復を図る治療方法です。
矯正歯科やインプラント治療などさまざまな治療を組み合わせて行います。




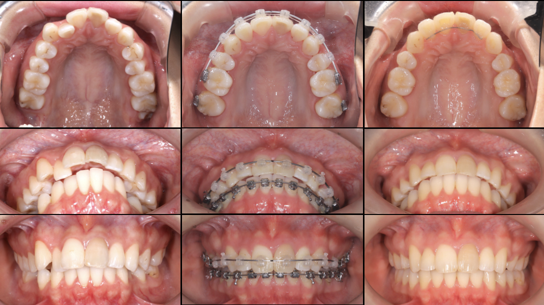
歯並び改善や噛み合わせ治療など治療目的に合わせて全顎的な矯正歯科を行います。
セルフ来ゲーションシステムである「DAMON」を使用することにより、比較的弱い力で歯を動かすため矯正歯科中の痛みが軽減すると言われています。
 
               セルフライゲーションシステムを応用した部分矯正歯科です。
比較的軽度な叢生、歯根の挺出、失った歯の補綴スペース確保などに使用します。あくまで部分的な矯正歯科のため噛み合わせの改善などの効果は見込めません。
 
              世界シェアNo1のマウスピース矯正「インビザライン」の部分矯正歯科です。前歯から小臼歯までの歯の移動に適しています。薄い透明のマウスピースのため見た目を気にせず矯正歯科ができます。
矯正歯科とインプラント治療は相性が良く、欠損のある患者様にはインプラント治療と併用して矯正歯科を行う場合があります。
矯正歯科は歯と歯の引っ張り合いによって歯を動かしますが、インプラントは骨と結合しているため固定源として使いやすく、矯正歯科がやりやすくなる場合があります。
 
                  
                   より安全に、より正確に、インプラント治療を行うために術前にCTレントゲンを使用してシュミレーションを行っています。
専用ソフトを用いて3次元的にインプラントの位置・方向・深さをあらかじめ設定、ガイドサージェリーを製作することでインプラント手術の安全性や正確性を向上させます。
あらかじめインプラントの埋入位置や方向をシュミレーションしておくことでより安全にスピーディーにインプラント手術が行えます。
 
            
            
            
           抜歯をしてからある程度の年数が経過している場合、抜歯した部位は十分に骨化しているため骨幅や骨の高さに合わせてインプラント治療を行います。
骨幅や骨高が足りない場合にはGBRを併用して手術を行う場合があります。
 
                  従来の方法は抜歯をしてから骨が治癒するまで約3~6ヶ月の間待ってからインプラントを行っていましたが、抜歯即時埋入はその名の通り、歯を抜歯をして同時にインプラントを埋入する方法です。
これにより外科処置の回数を減らせたり治療期間を短縮できるため、患者様の身体的負担も少なく治療できます。
 
            
            
            
           複数本の抜歯などによる骨吸収や歯周組織の変化が予測できない場合、抜歯した部位が治癒する数ヶ月の間待ってからインプラント治療を行います。
歯根嚢胞などで抜歯時に骨量が不足している場合では骨造成手術を併用する場合があります。
 
                   成熟骨インプラントの術式では、歯肉を切開剥離し骨の形態などを確認しながら行うことが一般的ですが、フラップレス埋入ではサージカルガイドを使用して、歯肉を切開剥離せずに行うことで、痛みや腫れを最小限に抑える方法です。
 
                  歯根を歯肉に埋入する残根埋入法をインプラント治療に応用するための方法です。抜歯をする際に歯を分割して頬側歯質の一部を残して抜歯することで、歯根膜を温存して歯槽骨の吸収を最小限に抑えます。同時に抜歯即時埋入法を用いてインプラントを埋入します。
 
                  上顎臼歯部において既存骨の高さが約10㎜以下の場合、上顎臼歯部の垂直的な骨の量が不足しているため、上顎洞底挙上術を行っています。
専用のCASキットを用いて上顎洞底を押し上げ、骨造成手術を併用してインプラント埋入を行います。
 
                 インプラントを埋入するために必要な骨の幅や高さが足りない場合に、人工骨補填材と人工膜(メンブレン)を用いて歯槽骨を再生する手術です。
歯槽骨をインプラント治療に適切な状態にすることでインプラントの成功率を上げ長期安定を期待します。骨の再生には3~6ヶ月かかる場合がございます。
抜歯によって歯槽骨の吸収が起きると歯肉などの周囲組織も変化し、インプラントへの感染に関係のある付着歯肉が喪失してしまう場合があります。
口蓋側や舌側の付着歯肉を移動させることでインプラント周囲の付着歯肉を改善します。
 
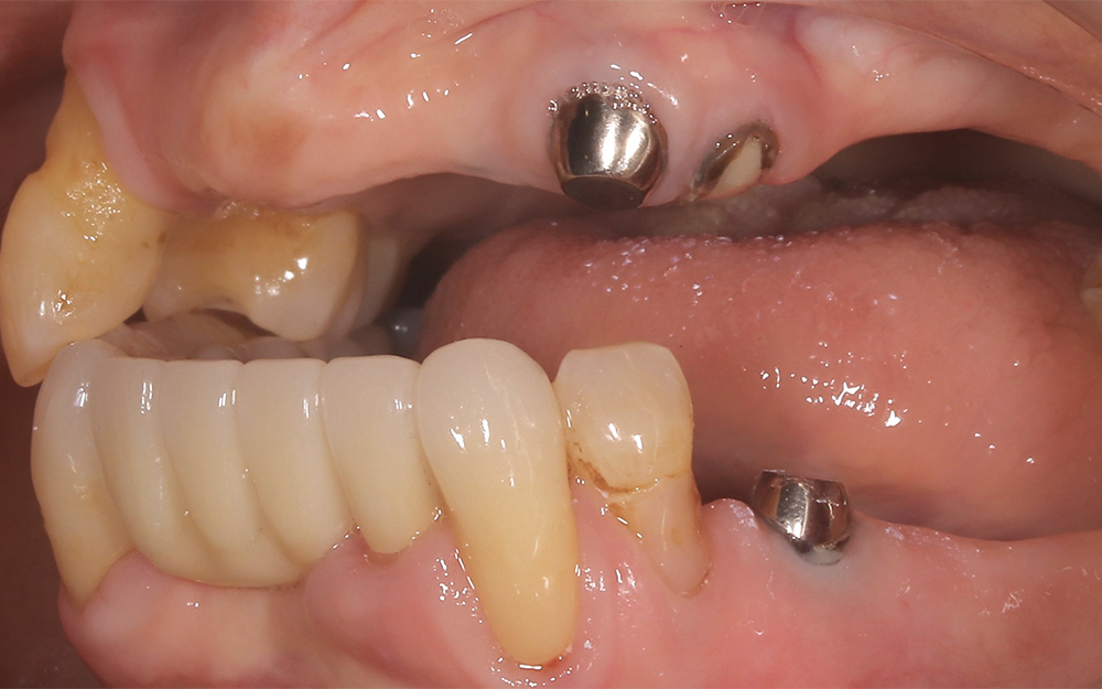
                    欠損した本数分にインプラントを入れるのではなく、最小限にインプラントを埋入してブリッジで上部構造を装着する方法。インプラントの本数を減らせるメリットがあります。
 
             「入れ歯が動く」「入れ歯が外れやすい」そういったお悩みのある患者様に対してインプラントで入れ歯を固定する治療方法です。
インプラントにロケーターアタッチメントを装着して ロケーターで入れ歯を固定するため入れ歯が動きにくくなります。
 
                 複数本のインプラントの上部構造は(オーバーデンチャーを除いて)ブリッジをネジで固定する方法が一般的ですが、AGCでは接着剤やネジを使わずに装着するため、歯科医院でのメインテナンスが簡単に行えます。
接着剤やネジを使わずにインプラントとアバットメントの精密な適合によって維持しています。
保険適用の部分義歯にはクラスプという入れ歯を留めるための針金があり、笑顔の時などにこのクラスプが見えることに審美障害を訴える方が多くいらっしゃいます。
金属の針金の代わりに歯ぐきの材料で入れ歯を留めることにより入れ歯が目立たなくなります。




入れ歯の留め具に磁石(マグネット)のアタッチメントを使用することで、金属の使用を少なくし見た目にも綺麗になります。
神経のない歯に磁石がくっつく金属を装着し、入れ歯側に装着した磁石で入れ歯を留めます。
左側上下顎の銀歯となっている部分をマグネットに交換することで、維持力を落とさず見た目を綺麗にした症例(下顎前歯にはセラミック、上下顎の部分義歯にはノンクラスプ義歯を使用)
 
            
            
            
           上顎の口蓋部分や下顎の舌側部分に金属やチタンを使用することで、入れ歯を薄くできます。
装着時の違和感を抑制する効果や食事時に粘膜に温度を伝達することにより、より美味しく食事が楽しめるようになります。
 
               部分入れ歯の場合、上顎の口蓋部分を薄くしたり小さくするためにメタルプレートを応用し、金具にはノンクラスプを使用することもできます。笑顔の時に見えにくい部分には金属のクラスプを使用して入れ歯の調節をする場合もあります。
 
                   

枚方市の歯医者|本多歯科
| 診療時間 | 月 | 火 | 水 | 木 | 金 | 土 | 日 | 
|---|---|---|---|---|---|---|---|
| 09:00~12:30 | 〇 | 〇 | 〇 | 〇 | 〇 | ※ | × | 
| 14:00~18:00 | 〇 | 〇 | 〇 | 〇 | 〇 | ※ | × | 
※土曜は
午前:8:30~13:00 /
 午後:14:00~17:00 までの診療
※休診日 : 日曜日・祝日
〒573-0022 大阪府枚方市宮之阪2-1-5
[京阪交野線]宮之阪駅からスグ
[京阪本線]枚方市駅から徒歩10分
Googleマップを開く →
