歯並びは口元のコンプレックスになるだけでなく、磨き残しや不正咬合の原因となり、虫歯や歯周病、顎関節症のリスクを高めます。
患者様のご要望をしっかりとお伺いし、口腔内写真や矯正用レントゲン写真を使用した精密検査や綿密な治療計画を立案し、丁寧なカウンセリングを行います。
歯並びは口元のコンプレックスになるだけでなく、磨き残しや不正咬合の原因となり、虫歯や歯周病、顎関節症のリスクを高めます。
患者様のご要望をしっかりとお伺いし、口腔内写真や矯正用レントゲン写真を使用した精密検査や綿密な治療計画を立案し、丁寧なカウンセリングを行います。
(22歳 女性:非抜歯矯正 / 約15ヶ月)




本多歯科では患者様のご要望に応えるためさまざまな矯正歯科をご用意しています。オーソドックスな唇側ワイヤー矯正から小児矯正、マウスピース矯正と幅広く矯正歯科を行なっています。
またインビザライン専用の口腔内スキャナー「iTero」や骨格診断を行うレントゲンCT「X800」など矯正歯科に必要な設備も豊富に取り揃えています。患者様の歯並びやご希望に合わせて最適な治療方法をご提案いたします。
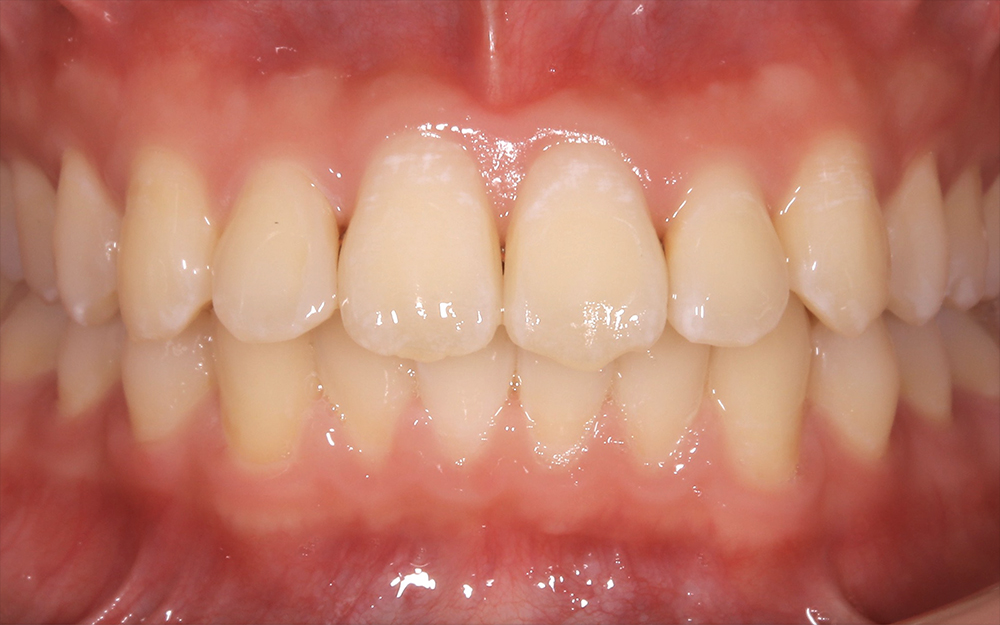
就職活動の面接で矯正について聞いてもらえて「矯正やってて良かった」と喜んでくれた。
(20歳 男性:非抜歯矯正 / 約15ヶ月)




矯正歯科を行うにあたって心配となるのが「抜歯」の必要性です。できるだけ歯を抜かずに矯正したいと誰もが思うことです。歯を抜かなければならない大きな理由としては「顎骨のスペース不足」「歯の形態が大きいことによるスペース不足」です。
そのような場合にも「非抜歯矯正テクニック」を応用して、できる限り歯を抜かない矯正歯科をご提案しています。
歯が並んでいるアーチ(歯列弓)の拡大によって前歯の配列スペースをつくります。また歯列弓の形態を「U字型」にすることで前歯の見え方や歯の比率も綺麗に見えるようになります。場合によっては床装置を装着して臼歯部の側方拡大を行う場合もあります。
他院で「抜歯矯正も視野に」と言われ当院に来院、非抜歯で矯正を行っている症例
(15歳 男性:非抜歯矯正治療中 / 現在7ヶ月)
歯と歯の間を0.2~0.5㎜ほどエナメル質をスライスすることでスペースをつくる方法をIPRと言い、ワイヤー矯正やマウスピース矯正でも従来から応用されています。抜歯によって得られるスペースは15㎜(両側で30㎜)ですが、IPRで得られるスペースは最大で5.0~8.0㎜ほどで、これに歯列弓を拡大することでスペースをつくります。
IPRによってスペースを確保して矯正治療を行った後、セラミック治療をした症例
(75歳 女性:非抜歯矯正 / 約13ヶ月)
しかし全ての症例において非抜歯が良いという訳ではありません。抜歯をしたほうが綺麗になるケースもあります。以下の症例では抜歯矯正をオススメしています。
歯並びは悪くないが口元の突出感があるケースに抜歯矯正を行った症例
(25歳 女性:抜歯矯正 / 約27ヶ月)
※当院で抜歯矯正を行う場合は、マウスピース矯正は選択できません。
必然的にワイヤー矯正となります。
「しっかり噛めて美しい」をコンセプトに矯正歯科を行う上で、最も大切なことは診査・診断と治療計画です。
審美的改善には顔貌のバランスやフェイスラインに合わせた理想的な前歯の位置、機能的改善には骨格に応じた最適な噛み合わせとなるよう治療方法を考察し、できる限り患者様の身体的負担が少なくなるような治療計画をご提案しています。
前歯の捻転と叢生により「出っ歯」になっていたケースをワイヤー矯正治療した症例
(25歳 女性:非抜歯矯正 / 13ヶ月)
矯正歯科では歯の位置を変えることができますが、歯の形態までは変えれません。理想的な口元の審美や噛み合わせを獲得するためには、補綴治療との組み合わせが必要となる場合もあります。
例えば、歯ぎしりや異常咬合によってすり減ってしまった歯の形態では、いくら歯を動かしても理想的な審美や咬合は獲得できません。そのような場合には矯正歯科が終了した後にセラミック治療が必要となります。
全顎的な歯の咬耗や叢生がある患者様に、
噛み合わせ治療のために矯正治療を行った後セラミック修復を行った症例
(65歳 男性:抜歯矯正 / 約2年)
歯並びと歯の形態を変えることで笑顔も明るくなる。




虫歯や歯周病のリスクを減らしつつ、笑顔に自信が持てるようになり、心も身体も健康になる…そんな矯正歯科を目指しています。本多歯科では成人矯正歯科の無料相談を随時実施しています。
相談を受けたからといって無理に矯正歯科をオススメすることはありません。まずは歯並びの悩みを解決できるのかどうか、どういった治療法があるのかということなどをお気軽に聞きに来ていただけたら…と考えています。
※相談時に撮影したレントゲン費用や歯周組織検査費用などはいただく場合がございます
| 成人矯正(16歳以上) | 700,000円(税込) |
|---|---|
| 小児矯正(12歳頃~) | 450,000円(税込) |
自分では気になっていても「周りには気づかれない」と
話してくれる方も多くいらっしゃいます。
マルチブラケット矯正ではほとんどの歯列不正の症例に対応できる、矯正歯科治療のなかで最もオーソドックスな治療方法です。
当院のブラケットはデーモンシステムを採用しており、比較的弱い力で歯を動かすため矯正歯科中の痛みが少ないと言われています。
審美に影響する上顎前歯は白いセラミックブラケット、あまり目立たない下顎はメタルブラケットを標準としています。
永久歯の埋伏(乳歯の晩期残存)のケースをワイヤー矯正を応用して牽引治療を行った症例
従来の矯正装置よりもブラケットとワイヤーの摩擦抵抗を1/600まで軽減した矯正方法。これにより弱い力で無理なく歯を動かせるため治療期間の短縮や見た目にも自然な歯列弓の獲得が可能となると言われています。
開閉式のスロットでワイヤーを固定するため、よりスピーディーにワイヤー交換が可能となりました。
左上の過剰歯が原因で歯並び不良を引き起こし歯磨きが困難になっていたケースを部分矯正で改善
(18歳 男性:部分矯正 / 4ヶ月)




矯正歯科で歯並びが綺麗になったら、明るくて白い歯も一緒に手に入れたい、そう考えてる方も多いのでは?当院では成人マルチブラケット矯正をご契約いただいた患者様に術後のホームホワイトニングを無料でご提供しています。
※条件がございます。詳しくはスタッフまで。
「インビザライン」なら透明のマウスピースで歯を動かすため、矯正歯科後だけでなく矯正歯科中も笑顔になれます。
iOSに搭載したマウスピース矯正専用のソフトを使用して治療の難易度を測定。さらに口腔内スキャナーiteroで治療後のシュミレーションを行います。
またiTeroの「IN-FACE機能」を使用することで矯正歯科終了後のイメージを顔貌写真にマッチングできます。これにより術後の笑顔のシュミレーションをご確認いただけます。
マウスピース矯正では矯正中でも装置が目立たないから、周囲の目を気にしなくて済みます。矯正歯科中の見た目が気になる方に特にオススメな治療方法です。
ワイヤー矯正の場合、装置が取り外せないため歯磨きが難しくなります。しかしマウスピース矯正では装置が取り外せるから歯磨きも簡単。食事もしやすいです。
マウスピース矯正で綺麗になった歯並びをさらに美しくするため、マウスピース矯正をご契約の方に無料でホームホワイトニングをプレゼントしています。
※条件がございます。詳しくはスタッフまで。前歯3本のセラミック治療、
クラウンレングスニングにより歯肉の高さを揃えた症例


本多歯科のセラミック矯正はセラミックやインプラントを専門とする技工士に担当していただいています。
顔の輪郭に⚪︎型・△型・◽︎型があるように、歯にも⚪︎型・△型・◽︎型があります。
患者様一人一人の顔貌やキャラクタライズに調和した前歯を制作いたします。
前歯4本のセラミック治療、
患者様の希望やキャラクタライズに調和した形態に設計
セレックシステムでプロビジョナルレストレーションやセラミックを製作しています。
口腔内スキャナーを使用し、データ化された口腔内状況に合わせた前歯をセレック専用のソフトを使ってデザインいたします。
セラミック矯正を行うにあたり、歯に無理な力がかかる場合や歯の寿命に大きく影響を及ぼすような場合には、マウスピース矯正やマルチブラケット矯正をお勧めしています。
歯並びや口元の見た目がコンプレックスに感じている方が多くいらっしゃいます。「人前で笑うのが恥ずかしい」「出っ歯が原因で唇が閉じにくい」そんな思いをしている方にはぜひ矯正歯科をご検討いただきたいです。
本多歯科のインビザラインシステムでは治療した後の歯並びがカウンセリング時にご覧いただけます。また顔貌写真や口腔内写真で問題点の解決方法などをご提示いたします。
私たちは患者さまの「綺麗になりたい」を全力で応援いたします。
小児矯正とは永久歯に生え変わるタイミングに合わせて行う矯正歯科です。
成長段階に合わせて顎骨の成長コントロールを行います。また永久歯列からはマルチブラケット矯正で歯並びを調整していきます。
| 0期:5歳から8歳ごろまで | 50,000円 |
|---|---|
| 1期:8歳から12歳ごろまで | 350,000円 |
| 2期:12歳(ワイヤー矯正) | 450,000円 |
小児矯正は顎骨の成長発育のコントロールの管理が難しいことが多いです。そのため本多歯科では1期矯正を小児矯正専門医師が担当・管理しています。
不正咬合や叢生は虫歯や抜歯のリスクを高める要因となる可能性があります。自分の歯を生涯にわたって使用するために歯並びを改善してメンテナンスがしやすい口腔内をつくることが大切です。
また歯並びや不正咬合は、「発音」や「咀しゃく」にも大きく関わり、お子様の成長にも影響を及ぼします。
5歳ごろから開始する矯正歯科です。上顎前突や下顎前突など骨格的な問題を生じている場合、舌突出癖や指吸い癖がある場合に行います。これにより顎骨の成長を妨げている因子を取り除きます。
8歳ごろからは顎骨の成長促進を行い、永久歯が生える顎骨のスペースを確保していきます。また舌突出癖や指吸癖などの口腔悪習癖を取り除き、顎骨のスムーズな成長コントロールをアシストします。
9歳の女児、反対咬合・上顎のスペース不足を拡大床装置によって改善を行った症例
永久歯が生えるスペースを確保したら、マルチブラケット矯正を使用して、確保したスペースに歯を並べていきます。子供の矯正でも装置の見た目を考慮して上顎前歯にはセラミックブラケットを標準としています。
12歳の女児、犬歯の萌出スペース不足を
ワイヤー矯正によって歯列を拡大し改善を行った症例
小児矯正を行ったのに大人になったら後戻りしてしまった…とお悩みの方へ、本多歯科では小児2期矯正を当院で行った方限定で18歳からの再矯正歯科を行なっています。基本的にはマルチブラケット矯正を行いますが、場合によってはマウスピース矯正もお選びいただけます。
顎骨の成長コントロールができる年齢は限られています。
歯が萌出するスペースを確保することで歯並びや噛み合わせが悪くならないように予防することができます。
お口の健康には、理想的な歯並びと噛み合わせが必要だと考えられています。しかし歯並びが悪くても、歯磨きが綺麗にできていたり虫歯や歯周病に患っていない場合、必ずしも矯正歯科が必要だとは思っていません。
歯並びが原因でお口の衛生管理が困難であったり、噛み合わせが問題で虫歯や歯周病が起きているような場合には、矯正歯科によって噛み合わせに合わせた理想的な歯のポジションに誘導していく必要があります。
骨格に合わせた理想的な歯並びと噛み合わせにすることで、審美的な改善だけでなく、歯石やプラークなどの衛生管理が容易となり、虫歯や歯周病を予防したりカラダ全体の健康づくりにもつながっていきます。
矯正歯科を始めるタイミングは人によってさまざまです。子供の時期から始める場合は、骨格の補正や顎骨の拡大など成長に合わせた治療が可能です。
顎骨の発育不全は滑舌や咀嚼にも影響します。5歳ごろからマウスピース型の骨格補正治療が始められ、8歳ごろから1期治療として顎骨拡大治療、11歳ごろから2期治療として歯並びの改善を開始できます。
大人の矯正(16歳以上)は顎骨の成長が見込めないため、顎骨や骨格に合わせた矯正歯科となります。歯列弓が小さい場合はワイヤー矯正で拡大することによってスペースを確保できる場合もありますが、場合によっては抜歯が必要な場合もあります。
また大人になってから顎の骨や骨格の治療を行う場合、外科的な矯正歯科が必要となる場合もあります。


枚方市の歯医者|本多歯科
| 診療時間 | 月 | 火 | 水 | 木 | 金 | 土 | 日 |
|---|---|---|---|---|---|---|---|
| 09:00~12:30 | 〇 | 〇 | 〇 | 〇 | 〇 | ※ | × |
| 14:00~18:00 | 〇 | 〇 | 〇 | 〇 | 〇 | ※ | × |
※土曜は
午前:8:30~13:00 /
午後:14:00~17:00 までの診療
※休診日 : 日曜日・祝日
〒573-0022 大阪府枚方市宮之阪2-1-5
[京阪交野線]宮之阪駅からスグ
[京阪本線]枚方市駅から徒歩10分
Googleマップを開く →
