「入れ歯治療」と聞くと比較的に高齢者向けの治療というイメージがありますが、若くして事故や虫歯などで歯を失う方も沢山おられますから、年齢は特に関係ありません。失った歯を補う治療方法には、他にインプラントやブリッジがあります。
ブリッジ治療では歯を削ることへのリスクがあったり、インプラント治療においては高額な費用がかかります。そういった意味では入れ歯治療は歯に優しく現実的な治療の選択肢のひとつと言えるでしょう。
入れ歯でも機能や審美の回復が見込めるので、諦めずに治療していただきたいです。
「入れ歯治療」と聞くと比較的に高齢者向けの治療というイメージがありますが、若くして事故や虫歯などで歯を失う方も沢山おられますから、年齢は特に関係ありません。失った歯を補う治療方法には、他にインプラントやブリッジがあります。
ブリッジ治療では歯を削ることへのリスクがあったり、インプラント治療においては高額な費用がかかります。そういった意味では入れ歯治療は歯に優しく現実的な治療の選択肢のひとつと言えるでしょう。
入れ歯でも機能や審美の回復が見込めるので、諦めずに治療していただきたいです。
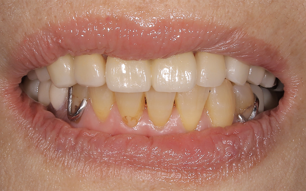
20歳ごろに外傷で前歯を失ったことをきっかけに
歯が悪くなっていった…とのこと。
総入れ歯の場合、人工歯を並べる際の設計の自由度が高いため、理想的な歯並びや見た目をつくりやすく、顔貌全体の表情を改善するひとつのチャンスと考えています。
顔貌の中で目・鼻・口・輪郭などに比べて「歯はあくまでも“脇役”」であるため、主役を引き立てるように顔貌全体のバランスを優先し、それにあった歯の配列を考えるようにしています。現在は見た目にこだわった部分入れ歯治療もあり、入れ歯でも素敵な笑顔が取り戻せます。
本多歯科の入れ歯治療は、歯並びを改善する矯正歯科と歯の見た目を改善する審美歯科の考え方を取り入れ、顔貌全体の見た目の改善を目指しています。
正面から見る口元の見た目には顔貌の正中線や瞳孔線、横から見た口元の見え方には鼻先と顎を結んだエステティックライン(E-Line)や口唇の張り具合などを考慮して入れ歯の設計を行っています。
一人一人に合った歯の位置や歯並びを考慮した入れ歯治療によって、顔貌全体のバランス・口角やほうれい線・目元まで含めた表情などが改善し、笑顔の印象が大きく変わります。
総入れ歯の場合、人工歯の配列の自由度が高いため、
審美的な前歯の設計がしやすいです。
“お出かけ用の服”、“お出かけ用の眼鏡”、“お出かけ用の靴”「お出かけの際くらいは“おしゃれ”がしたい」
そう感じる方のために「お出かけ用の入れ歯」をお勧めしています。部分入れ歯の金属のバネの部分を目立ちにくくしたり、見た目重視にこだわった入れ歯などは口元の審美性を向上し、より綺麗な口元を演出します。
入れ歯の耐久性は床部分の補強にメタルプレートやチタンプレートを応用しない限り、保険の入れ歯でも自費の入れ歯でもそう大差はありません。お勧めしているのは「家にいる時に使う普段用」と「お出かけするときに使うおしゃれ用」に分けて、2つの入れ歯を持つことです。
お出かけの際は気分を変えて出かけられますし、2つの入れ歯を交互に使用することで入れ歯への負担を分散できます。
部分入れ歯の針金を歯ぐき色にすることで目立たないようにした部分入れ歯です。保険の入れ歯より材質が柔らかくフィット感が良いと言われています。針金と比べてバネ部分の調整が難しいというデメリットがあります。
下顎の部分入れ歯の金具が気になるとのことで、
「お出かけ用入れ歯」としてノンクラスプデンチャーを製作した症例
歯根に磁石がくっつく金属のプレートを装着し、入れ歯側に磁石を入れることで磁石で入れ歯を固定する方法です。差し歯にはできないほどの状態が良くない歯にも使用できるため、歯を最後まで使うことができます。
上顎の口蓋部分・下顎の舌側部分を金属(チタン)で補強することで入れ歯の耐久性が向上します。保険の入れ歯より薄くできるため舌感も良くなります。また金属部分で食べ物の温かみを感じることができるため、より美味しく食事が楽しめます。
「入れ歯が落ちる」「入れ歯が動く」というお悩みにはインプラントで入れ歯を留める方法がお勧めです。無歯顎(総入れ歯)の場合、上顎には4本以上・下顎には2本以上のインプラントが必要となります。
下顎にインプラントを2本埋入し、
ロケーターというアタッチメントで総入れ歯を維持している症例
(下顎前歯の残根にはマグネットを装着)
初めて入れ歯を使用する際に、どうしてもネックになってくるのが入れ歯の装着感です。ブリッジに比べて歯ぐきの部分が大きくなり、お口の中で違和感となりやすいです。
使用し続けることや調整を続けることで次第に馴染んでいくことが多いですが、馴染みにくい場合には、食事と就寝の時間以外で使用してみてください。
入れ歯を使用する方にアンケートを取ったところ「食事中は外すことで慣れ易かった」というお声を多くいただいています。
入れ歯はブリッジやインプラントに比べてどうしても装着感が大きく、違和感になかなか馴染めないという方が多くいらっしゃいます。
そのような場合に両隣に歯が残っている場合はブリッジに切り替えれますが、ブリッジの支台になる歯がない場合や広範囲に欠損が及ぶ場合にはインプラントによるブリッジやAGCという治療法が必要となってきます。


枚方市の歯医者|本多歯科
| 診療時間 | 月 | 火 | 水 | 木 | 金 | 土 | 日 |
|---|---|---|---|---|---|---|---|
| 09:00~12:30 | 〇 | 〇 | 〇 | 〇 | 〇 | ※ | × |
| 14:00~18:00 | 〇 | 〇 | 〇 | 〇 | 〇 | ※ | × |
※土曜は
午前:8:30~13:00 /
午後:14:00~17:00 までの診療
※休診日 : 日曜日・祝日
〒573-0022 大阪府枚方市宮之阪2-1-5
[京阪交野線]宮之阪駅からスグ
[京阪本線]枚方市駅から徒歩10分
Googleマップを開く →
