枚方市の歯医者|本多歯科
| 診療時間 | 月 | 火 | 水 | 木 | 金 | 土 | 日 |
|---|---|---|---|---|---|---|---|
| 09:30~13:00 | 〇 | 〇 | 〇 | 〇 | 〇 | ※ | × |
| 15:00~19:30 | 〇 | 〇 | 〇 | 〇 | 〇 | × | × |
※土曜は9:00~13:00までの診療
※休診日 : 日曜日・祝日
〒573-0022 大阪府枚方市宮之阪2-1-5
[京阪交野線]宮之阪駅からスグ
[京阪本線]枚方市駅から徒歩10分
Googleマップを開く →

前歯の色を合わせたいと来院。
色よりも形態的に問題があることを指摘後、クラウンレングスとセラミック修復を行った。




《初診時の状態》
審美と問題として「歯肉ライン」と「切端ライン」をキーポイントにした。(赤線が現状 / 黄線が目標)
2つのキーポイントを意識してワックスアップを作製、治療ゴールの設定を行った。
ワックスアップを参考にクラウンレングスニングを行い、
プロビジョナルを装着した状態。
プロビジョナルレストレーションの評価を行い、
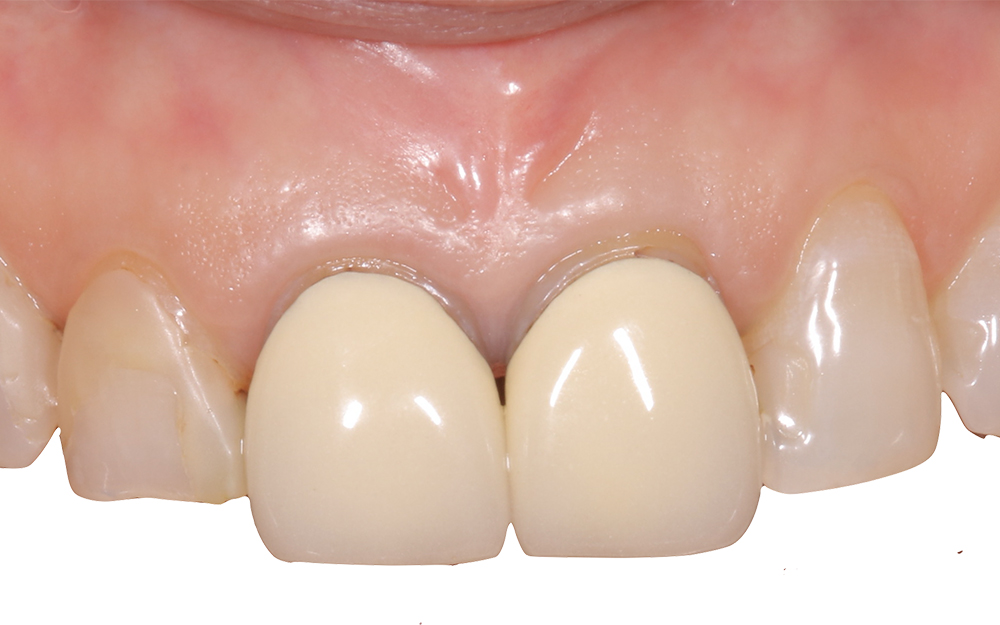
最終印象採得と最終補綴物装着から8週間後の状態。


枚方市の歯医者|本多歯科
| 診療時間 | 月 | 火 | 水 | 木 | 金 | 土 | 日 |
|---|---|---|---|---|---|---|---|
| 09:30~13:00 | 〇 | 〇 | 〇 | 〇 | 〇 | ※ | × |
| 15:00~19:30 | 〇 | 〇 | 〇 | 〇 | 〇 | × | × |
※土曜は9:00~13:00までの診療
※休診日 : 日曜日・祝日
〒573-0022 大阪府枚方市宮之阪2-1-5
[京阪交野線]宮之阪駅からスグ
[京阪本線]枚方市駅から徒歩10分
Googleマップを開く →
