枚方市の歯医者|本多歯科
| 診療時間 | 月 | 火 | 水 | 木 | 金 | 土 | 日 |
|---|---|---|---|---|---|---|---|
| 09:30~13:00 | 〇 | 〇 | 〇 | 〇 | 〇 | ※ | × |
| 15:00~19:30 | 〇 | 〇 | 〇 | 〇 | 〇 | × | × |
※土曜は9:00~13:00までの診療
※休診日 : 日曜日・祝日
〒573-0022 大阪府枚方市宮之阪2-1-5
[京阪交野線]宮之阪駅からスグ
[京阪本線]枚方市駅から徒歩10分
Googleマップを開く →

すきっ歯の治療は矯正治療かセラミック治療で行うが、
セラミックを選択した場合は歯の大きさが問題となることが多い




初診時の状態と形成時の比較。
ラミネートベニアの場合、切削量を少なくできる。
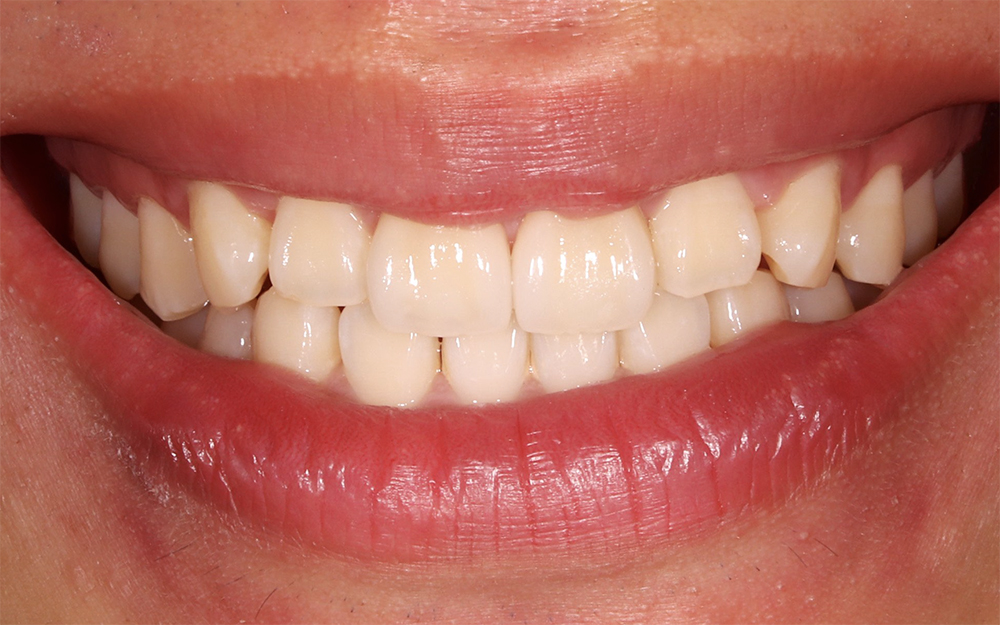
治療終了から1ヶ月後の状態
治療終了から12ヶ月後の状態


枚方市の歯医者|本多歯科
| 診療時間 | 月 | 火 | 水 | 木 | 金 | 土 | 日 |
|---|---|---|---|---|---|---|---|
| 09:30~13:00 | 〇 | 〇 | 〇 | 〇 | 〇 | ※ | × |
| 15:00~19:30 | 〇 | 〇 | 〇 | 〇 | 〇 | × | × |
※土曜は9:00~13:00までの診療
※休診日 : 日曜日・祝日
〒573-0022 大阪府枚方市宮之阪2-1-5
[京阪交野線]宮之阪駅からスグ
[京阪本線]枚方市駅から徒歩10分
Googleマップを開く →
