枚方市の歯医者|本多歯科
| 診療時間 | 月 | 火 | 水 | 木 | 金 | 土 | 日 |
|---|---|---|---|---|---|---|---|
| 09:30~13:00 | 〇 | 〇 | 〇 | 〇 | 〇 | ※ | × |
| 15:00~19:30 | 〇 | 〇 | 〇 | 〇 | 〇 | × | × |
※土曜は9:00~13:00までの診療
※休診日 : 日曜日・祝日
〒573-0022 大阪府枚方市宮之阪2-1-5
[京阪交野線]宮之阪駅からスグ
[京阪本線]枚方市駅から徒歩10分
Googleマップを開く →

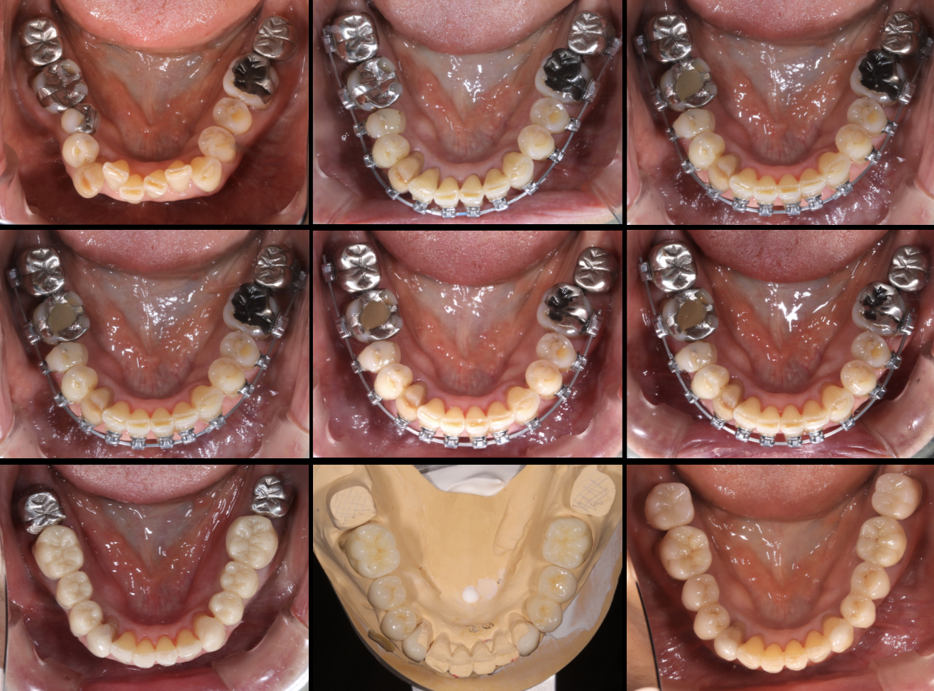
上顎の入れ歯をやり直したいと来院。
出っ歯になっていることを気にしている様子でした。
《初診時の状態》上唇がEラインより大きく突出している
《治療後の状態》Eラインに口唇が調和している
下顎犬歯の位置の修正のため矯正治療を行い、
臼歯部には咬耗を改善するためセラミック修復を行った。
上顎はインプラントオーバーデンチャーにするため
インプラントを4本埋入。
患者様の希望でメタルフレームは口蓋を開けたデザインに。
《治療後の状態》
見た目も綺麗になったが、
インプラントオーバデンチャーにしたことで
「なんでも噛める」と大喜びしていただけました。


枚方市の歯医者|本多歯科
| 診療時間 | 月 | 火 | 水 | 木 | 金 | 土 | 日 |
|---|---|---|---|---|---|---|---|
| 09:30~13:00 | 〇 | 〇 | 〇 | 〇 | 〇 | ※ | × |
| 15:00~19:30 | 〇 | 〇 | 〇 | 〇 | 〇 | × | × |
※土曜は9:00~13:00までの診療
※休診日 : 日曜日・祝日
〒573-0022 大阪府枚方市宮之阪2-1-5
[京阪交野線]宮之阪駅からスグ
[京阪本線]枚方市駅から徒歩10分
Googleマップを開く →
